...

Dra. Adriana Bastidas López

Odontólogo, Ortodoncista

Cali
¡Reserve una visita! Contactar conmigo

Información sobre mí

Unas pocas palabras...

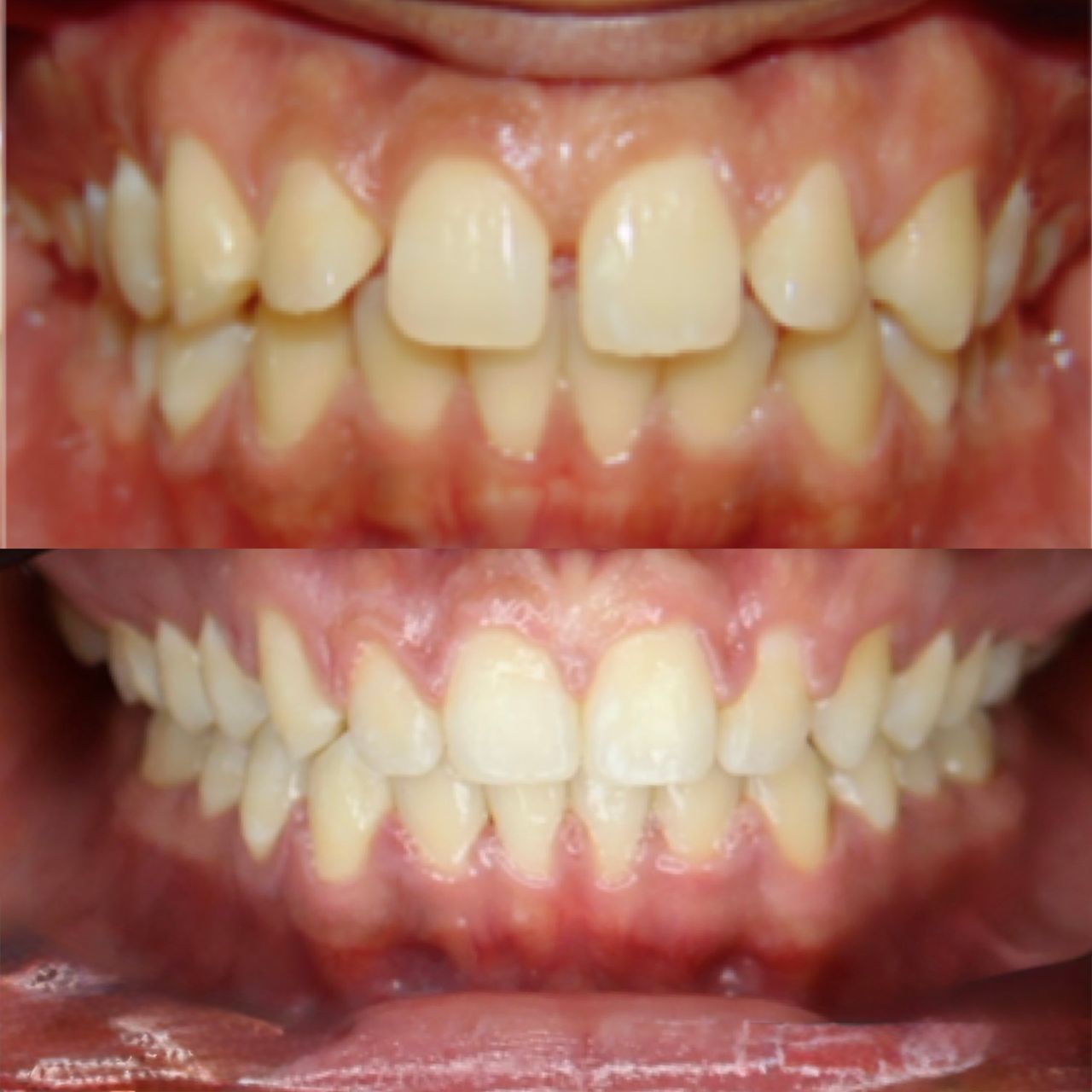
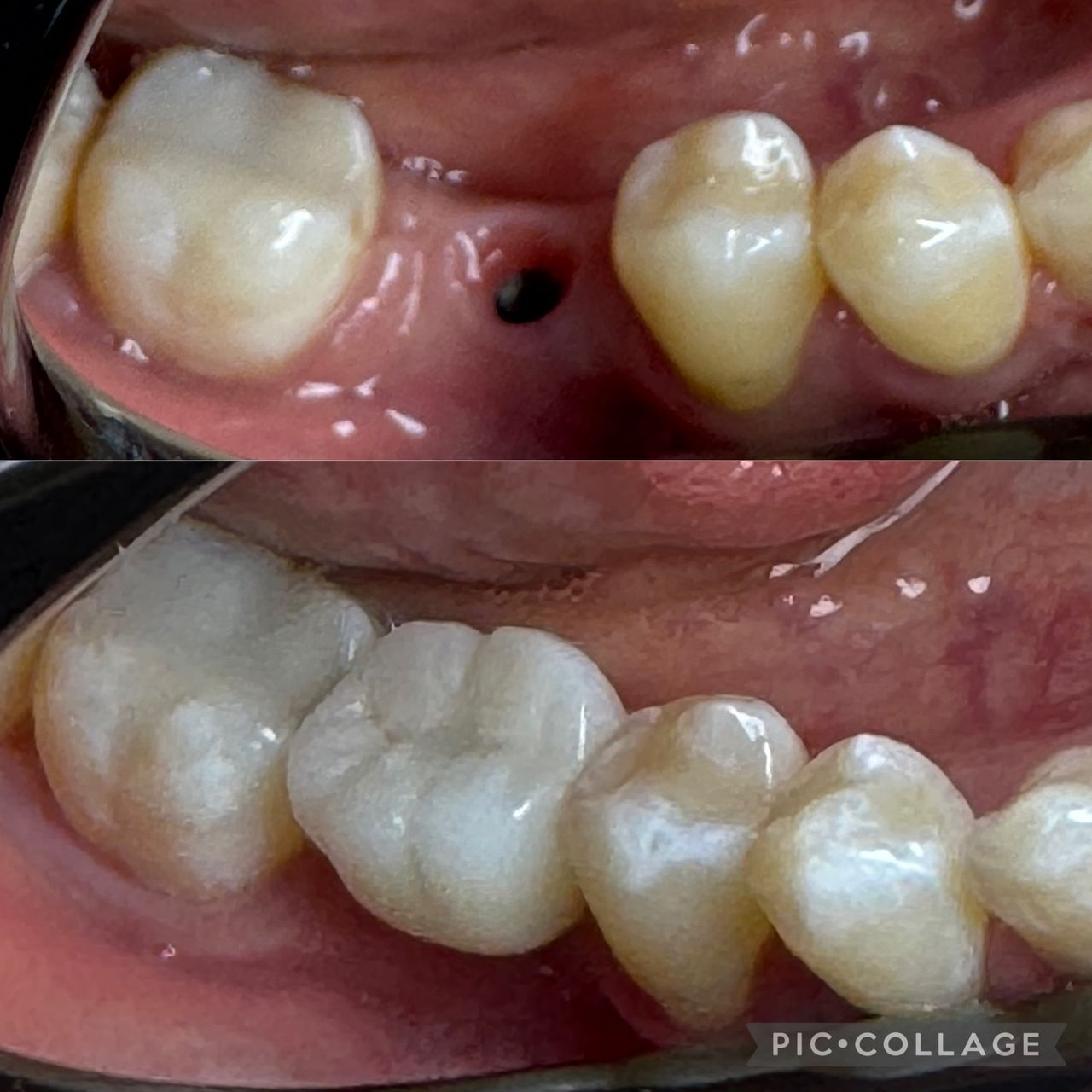
Odontóloga graduada del Colegio Odontológico Colombiano. Tesis meritoria colegio odontológico colombiano. Especialista en Ortodoncia graduada de Universidad FACSETE Brasil, Especialista en implantología oral y re constructiva de la Universidad Unicid Brasil. Auditora interna. Asistente al congreso internacional brasilero de ortodoncia, Diplomado ortodoncia fija preprogramada Bogotá 2014. Diplomado Clínico Avanzado en Odontología Restauradora Estética Brasil 2022. Especialista en gestión y auditoría en servicios de salud de la Universidad Santiago de Cali.

Especialidades
  • Ortodoncia
  • Rehabilitación Oral
  • Ortopedia Maxilar
  • Implantología Oral
Formación
  • COLEGIO ODONTOLOGICO COLOMBIANO
  • UNIVERSIDAD SANTIAGO DE CALI
  • UNIVERSIDAD UNICID BRASIL
  • UNIVERSIDAD FACSETE BRASIL
Idiomas
  • Español
Premios y reconocimientos
  • TESIS MERITORIA PREGRADO
Enfermedades tratadas
  • Abceso dental
  • Alteraciones del desarrollo dental
  • Anomalías dentales
  • Bruxismo
  • Discrepancias de los maxilares
  • Estomatitis Candidiasica
  • Gingivitis
  • Gingivoestomatitis Herpética
  • Malposiciones dentales
  • Odontalgia
  • Periodontitis
  • Pulpitis
  • Traumatismo dentoalveolar
  • Caries dental
  • Periimplantitis
  • Pérdida de hueso
  • Implante dental enfermo
  • Absceso periodontal
  • Diente perdido
  • Diente flojo
  • Sangrado de encía
  • Mal aliento
  • Inflamación de encía
  • Dolor de muela
  • Dientes torcidos
  • Dientes apiñados
  • Dolor en la mandíbula
  • Dolor al masticar
  • Problemas en articulación temporomandibular
  • Pigmentación dental
  • Dolor dental
  • Encías inflamadas
  • Implantes dentales
  • Ausencia dental
  • Raíces abandonadas
  • Alveolitis
  • Úlceras Orales
  • Herpes Labial
  • Eritema Multiforme
  • Estomatitis Aftosa Recurrente
  • Boca Seca
  • Ardor en la Lengua
  • Xerostomía
  • Diente roto
  • Faringoamigdalitis Herpética
  • Problemas para abrir la boca
  • Pericoronitis
  • Dolor en la Lengua
Redes sociales

¡Reserve una visita!

DRA ADRIANA BASTIDAS

Carrera 100 #11-60
760007 Cali, Valle del Cauca
Llame al especialista

¡Seleccione la fecha apropiada y concierte una cita!

Precios

Visita Odontología 50000 $
Implante dental Sin especificar
Invisalign 7000000 $
Manejo de urgencias odontológicas 80000 $
Odontalgia 80000 $
Operculectomía Sin especificar
Ortodoncia Sin especificar
Ortodoncia invisible clear Aligner Sin especificar
Prótesis dentales Sin especificar
Regenaración osea previa a la colocación de implantes Sin especificar
Sutura y Cuarción de herida en cavidad bucal Sin especificar
Tratamiento bajo sedación endovenosa y anestesia Sin especificar
Tratamiento de alveolitis Sin especificar
Tratamiento para abcesos dentoalveolares Sin especificar
Alargamiento coronal Desde 260000 $
Extracción dental 100000 $
Exodoncia compleja de cordales 250000 $
Visitas sucesivas Odontología Sin especificar
Blanqueamiento dental 550000 $
Brackets de autoligado 130000 $
Canal de raíz 350000 $
Carillas dentales 280000 $
Cirugía periodontal: colgajo abierto Sin especificar
Cirugía periodontal: Injerto de tejido blando Sin especificar
Cirugía prepotesica Sin especificar
Coronas dentales 1300000 $
Coronas en Zircon Sin especificar
Debridación de abscesos infecciosos en cavidad bucal Sin especificar
Detartraje y Profilaxis dental Desde 100000 $
Diseño de sonrisa 2000000 $
Estética Dental Sin especificar
Odontopediatria Desde 50000 $

Opiniones de los pacientes

Excelente profesional, con tecnología innovadora, muy eficaz con los tratamientos y muy buena atención
Paciente
Paciente
Me encanta la calidad del servicio prestado , materiales de excelente calidad y personal muy humano entregado a su trabajo
Paciente
Paciente
Todo súper bien, me gustó muchísimo todas las instalaciones y el profesionalismo de la doctora excelente
Paciente
Paciente
Buen servicio. Claridad en la información. Buena atención.
Paciente
Paciente
La doctora Adrián es una mujer muy cualificada amable en su campo la recomiendo 100 x 100
Paciente
Paciente
Todo estuvo excelente muy contenta con el trabajo muy cumplida y honesta,gracias
Paciente
Paciente
La doctora Adriana es muy amable y a mi hijo le gusta asistir a sus citas y eso es muy importante para mí.!!!
Paciente
Paciente
Me a gustado mucho el trabajo realizado, la doc es muy profesional, la atención es súper buena es empatía y las instalaciones del consultorio son muy bonitas, además algo que me gusta mucho es el manejo del tiempo, la comunicación con los pacientes.
Paciente
Paciente
Excelente atención y profesionalismo. La doctora realizó mi implante con mucho cuidado y dedicación, explicando todo el tratamiento. Muy satisfecha con el resultado, totalmente recomendada.
Paciente
Paciente
Excelente atención gracias Doctora por su dedicación exelente trabajo
Paciente
Paciente
Excelente la atención, me gustó la explicación de la solución a mi problema, espero q sea eficaz
Paciente
Paciente
Excelente profesional odontóloga, con precios justos y un servicio de alta calidad. Destaca por su trato amable, dedicación y por explicar cada procedimiento con claridad, lo que genera mucha confianza. Totalmente recomendada.
Paciente
Paciente
Me pareció muy bien me despejaron muchas inconsistencias q tenía, lo único es q el precio debe ser más moderado ya q la oferta y la demanda determinan la afluencia de clientes, si ofrecemos a buen precio obtendremos más demandas y se ganará más dinero. Quien no sabe esta ley de economía piensa q elevando los precios va a ganar más dinero y es todo lo contrario, un cliente satisfecho trae más clientes!
Paciente
Paciente
Muy completa excelente atención y confiable La doctora brinda toda su experiencia y todo muy profesional
Paciente
Paciente
Muy profesional en lo que hace y sus instalaciones son muy buenas
Paciente
Paciente
Excellent service siempre con la mejor calidad y actitud
Paciente
Paciente
Como siempre una atención especial, con una buena comunicación y dedicación.
Paciente
Paciente
Excelente servicio la Doc muy querida amable gentil, y super dispuesta me sentí muy bien atendido
Paciente
Paciente
Se nota el profesionalismo de la Dra Adriana. Fue una urgencia bien atendida. Se trató de un arreglo de posible poca duración, puesto que mi estadía en Cali es muy corta.
Paciente
Paciente
Una. Eselente profesional. Y con una. Calidad umana enorme que. Seciente uno como paciente supervien
Paciente
Paciente
Todo fue excelente, la Dra es muy buena la felicito
Paciente
Paciente
Muy completa la atención, muy buenas las instalaciones y muy profesionales
Paciente
Paciente
Todo excelente, es un verdadero gusto estar en su consultorio, buena energía
Paciente
Paciente
Excelente atención y resultados. Atención con dedicación y caros. A
Paciente
Paciente
Exelente profesionalismo muy bueno el tratamiento muy satisfecho con el resultado
Paciente
Paciente
Exelente la atencion lo recomendó a cualquiera gracias
Paciente
Paciente
Excelente atencion, muy profesional, tienen equipos de última generación .
Paciente
Paciente
Excelente doctora muy buena en lo que hace estoy satisfecho
Paciente
Paciente
Buena atención a tiempo Buena explicación ,buen trabajo
Paciente
Paciente
Excelente la atención y Tecnologia y servicio, muy buena recomendación.
Paciente
Paciente
Recomiendo el lugar, excelente me gusta la atención
Paciente
Paciente
Excelente profesional y con buena actitud para explicar como van los avances de la ortodoncia
Paciente
Paciente
Excelente atención con resultados en poco tiempo. Super Recomendada.
Paciente
Paciente
Muy profesional y dedicada al tratamiento! super recomendada
Paciente
Paciente
¡¡Excelente profesional y resultados impecables!!!
Paciente
Paciente
Es muy atenta, dedicada, confiable y sobre todo muy profesional.
Paciente
Paciente
La doctora brindó una atención excepcional. Su profesionalismo, dedicación hicieron que todo el proceso fuera cómodo y seguro. La doctora fue muy amable, cuidadosa y me explicó todo con claridad. Me sentí tranquila durante todo el procedimiento. Mil gracias por su excelente trabajo. Sin duda, una odontóloga altamente recomendable.
Paciente
Paciente
Doctora, muchas gracias por su excelente atención y profesionalismo. Me sentí muy tranquila durante todo el procedimiento y realmente valoro su dedicación y cuidado con cada detalle.
Paciente
Paciente
Excelente atención, la profesional explica muy bien y la atención es genial.
Paciente
Paciente
Excelente servicio, gran profesional Explicación muy buena del tratamiento
Paciente
Paciente
Muy buen servicio muy buena atención agradable instslaciones
Paciente
Paciente
Muy buena me resolvieron por lo que fuy quedé satisfecha con el resultado
Paciente
Paciente
Excelente atención, excelente procedimiento, gran profesional
Paciente
Paciente
Atención , servicio , instalaciones todo excelente.
Paciente
Paciente
Excelente servicio. Siempre quedo muy agusto, recomendado.
Paciente
Paciente
Excelente servicio, profesionalismo y empatia y puntualidad
Paciente
Paciente
Me realice un diseño de sonrisa con la Dra. Bastidas y me encanto su profesionalismo, calidez humana y atencion, quede satisfecha con su tratamiento, la recomiendo 100%.
Paciente
Paciente
...

¿Quieres reservar una hora?

¡Reserve una visita! Contactar conmigo